Mantener una buena higiene bucal depende tanto del cepillo que uses como de cómo lo utilices. A continuación te presento recomendaciones basadas en investigación, cuáles cepillos son buenos, y cómo…
Perder una restauración dental como una resina o amalgama puede ser incómodo, doloroso y riesgoso si no se actúa a tiempo. Saber cómo manejarlo puede prevenir daños mayores, sensibilidades y…
Tras una extracción dental, la colocación de un implante o cualquier procedimiento quirúrgico dentro de la boca, los cuidados postoperatorios son esenciales para favorecer una buena cicatrización y evitar complicaciones.…
La técnica de cepillado minuciosa: por qué importa más la precisión que la fuerza
Cepillarse los dientes parece algo sencillo, pero la forma en que lo hacemos determina si realmente…
La salud bucal no es solo cuestión de estética o de evitar caries; diversas investigaciones muestran que mantener una boca sana tiene implicaciones profundas para la salud general, la calidad…
A veces, para cuidar tu salud bucal, hay que decir adiós a un diente. Puede sonar fuerte, pero las extracciones dentales son procedimientos muy comunes y seguros que ayudan a…
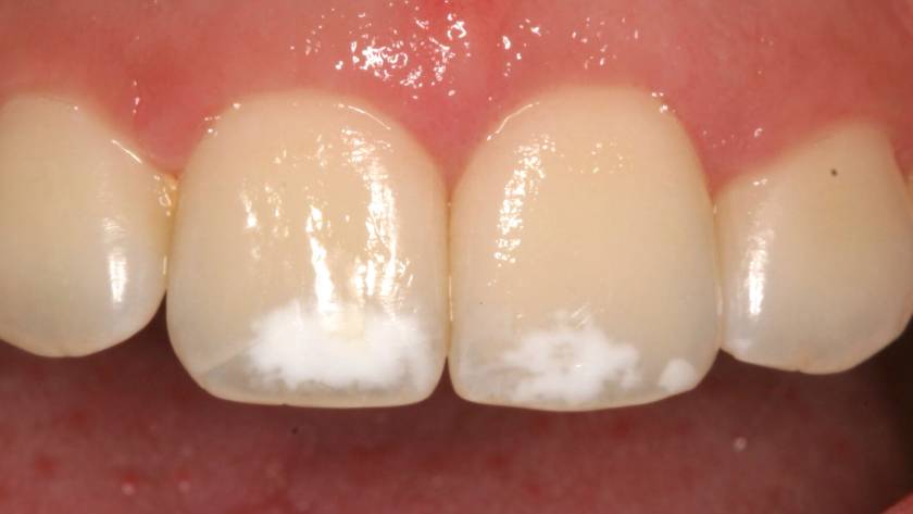
El esmalte dental: tu escudo invisible
El esmalte dental es la capa más externa y dura de tus dientes, actuando como un escudo contra bacterias, caries y desgaste. Aunque es…
Implantes Dentales: La Revolución en la Salud Bucal
La pérdida de dientes puede afectar significativamente la calidad de vida, desde la dificultad para masticar hasta la disminución de la autoestima.…
¿Sonrisas imperfectas? ¿Dientes manchados, desgastados o con pequeñas separaciones?
Las carillas dentales de porcelana son la solución más popular en odontología estética para transformar sonrisas de manera radical y…
